FSHR Theranostics
Diagnosis and Therapy
FSHR Theranostics purpose is to develop the tremendous potential of the biomarker FSH-Receptor in diagnosis and therapy of several diseases including cancer, cardiovascular diseases, endometriosis, and some rare diseases, thus giving to millions of patients the promise for a better and longer life.
Cancer remains the most common malignancy and second-leading cause of death in the Western world. Early detection is essential for curative cancer therapy and for achieving a decrease in cancer mortality.
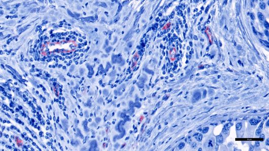
We have shown by various and complementary methods that the FSH receptor (FSHR) is expressed in over 2,000 human tumors, in all tumor types examined (colon, prostate, breast, lung, ovary, testicle, kidney and others), for all tumor grades and stages examined, including metastases. Based on these results, the FSHR appears to be very promising for various applications such as cancer diagnosis, imaging, and therapy.
FSHR AS A BIOMARKER FOR DIAGNOSIS & THERAPY

FSHR Theranostics purpose is to develop tremendous potential of the biomarker FSH-Receptor in diagnosis and therapy of several diseases including cancer, cardiovascular diseases, endometriosis, and some rare diseases, thus giving to millions of patients the promise for a better and longer life. We think that FSHR is the biomarker that can reply to unmet medical needs.

